ClinCheck ® Pro Software
Our cloud-based treatment planning software is powered by the data of more than 17 million smiles 1 . Now with ClinCheck mobile, review, modify and approve treatment plans from any device.




ClinCheck treatment planning innovations are designed to streamline your workflow and give you back valuable time.
- Case submission process: Streamlined with a preferences template like GLR, MLS or Invisalign Personalized Plan and Flex Rx .
- Treatment plan modifications and approvals: More efficient with Plan Editor, 3D Controls and ClinCheck Live Update.


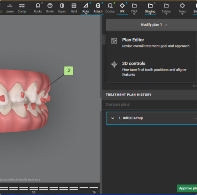
Plan Editor allows you to make significant changes to treatment plans quickly and easily.
- Make major treatment plan modifications yourself, view side-by-side comparisons, and customize treatment plans for specific cases.
- Now you can directly edit, undo, redo, and investigate new approaches to your treatment plans quickly without the need to involve the Align technician.
- See changes in minutes by clicking the 'Live Update' button to save time, skip written comments, and say in the moment.

Learn more

With 3D Controls, make precise modifications to treatment plans directly on the dentition in real time.
- 3D Controls offers tools that include individual or multi-tooth adjustments, arch-form, attachments and cuts, IPR and spacing. These tools provide more precise control over the final tooth position to help you affectively achieve your treatment goals.
- Easily visualize the cause and effect of treatment modifications on the 3D dentition in real time for more informed treatment planning.
- 3D Controls and ClinCheck Live Update give you the power to make changes yourself in minutes and approve plans in real time without the need for an Align CAD designer.


Learn more


CBCT integration allows you to see more than ever for more informed treatment planning.
- Auto-generates a 3D model with roots, crown, and bone for more-informed treatment planning.
- Shows real root renderings and bone visualizations based on actual scan data.
- Helps doctors leverage their expertise across a broad range of malocclusions to confidently expand care.


Learn more


ClinCheck Smile Video, the next level of in-face visualization to enhance digital treatment planning.
- Realistically simulate your ClinCheck® treatment plan within a short video of the patient’s face.
- Allows you to communicate treatment plans more effectively, making it easier for patients to visualize their treatment outcomes.
- Cutting-edge video simulation shows patients their before and after in an interactive way to boost excitement.
- Enabled by the Invisalign Practice App: simply record a 15 to 30 second video of your patient talking and smiling.

Take training

To start using ClinCheck Smile Video and ClinCheck Mobile, download the Invisalign Practice App.


Frequently Asked Questions
What is ClinCheck® Pro software?
The new ClinCheck® Pro software is cloud-based software and provides you with the freedom to treatment plan on PC, Mac or iPad anytime, anywhere.
ClinCheck® Pro software offers you streamlined treatment planning features and a more intuitive user interface. To preview what the new software can do, an interactive product tour and dynamic tooltips are fully integrated.
This new version of ClinCheck software has been developed with feedback and insight from you, our customers and partners.
How do I get ClinCheck ® Pro software?
ClinCheck® Pro software is cloud-based, which means you can instantly access the most current version of ClinCheck software without installing an upgrade to your computer. To access ClinCheck® Pro software, simply:
- Login to your Invisalign Doctor Site
- Go to Patient tab
- Select a patient
- Click the “Open ClinCheck plan” tab
These steps will automatically open your patient’s treatment plan in the new ClinCheck® Pro software.
What are the benefits of using ClinCheck Pro?
- Flexibility: ClinCheck® Pro software offers improved flexibility to treatment plan anytime, anywhere using a PC, Mac or iPad
- Cloud-Based: ClinCheck® Pro software ensures you have the most current software during the treatment planning process; no need to download or install software to your computer
- New User Interface: Intuitive design improves user experience including placing and removing attachments, while new color scheme is designed to reduce ocular fatigue
- Product Tour: Helps to keep you up to date on new features within ClinCheck® Pro software Dynamic Tooltips is a newly integrated educational feature that gives you a preview of what that ClinCheck tool can do
What are 3D Controls in ClinCheck® Pro software?
3D controls puts the doctor in controls of creating and making modifications to the patients treatment plan. Utilization of 3D Controls allows doctors and their Align technicians to see the intended final tooth position instead of the technician needing to interpret written notes. This may shorten the treatment planning process by helping reduce errors and need for back and forth communication.
What tools does 3D Controls offer doctors?
3D Controls has a multi-tooth adjustment tool, Attachment and Cuts tool, and Arch-Form tool and a IPR and spacing tool.
What can I do with the Individual or Multi Tooth Adjustments tool in 3D Controls?
- You can make tooth adjustments directly on the 3D model: extrusion/intrusion, translation, rotation, crown angulation, root torque and crown tip.
- As you adjust one tooth all other teeth in the same arch will automatically adjust in response.
- You can lock and keep a tooth at a desired position and designate a tooth as unmovable for the duration of a treatment (e.g. crowns, implants).
What can I do with the Attachments and Cuts tool in 3D Controls?
- Add conventional attachments and Precision Cuts by simply dragging and dropping to the tooth of choice. And easily remove attachments and Precision Cuts by dragging them to the trash can.
- Adjust the placement and rotate conventional attachments, and change the size, prominence and degree of beveling of rectangular attachments.
- Fine-tune the mesiodistal position of Button Cutouts.
What can I do with the Arch-Form tool in 3D Controls?
The Arch 3D tool allows you to expand or contract posterior arches. You can expand or contract only upper arch, only lower arch or both arches.
As for the rest of the 3D Controls, when you make an arch modification on the 3D model, all other teeth in the adjusted arch will automatically adjust in response, and comments will be automatically generated in the Comments tab.
What can I do with the IPR and Spacing tool in 3D Controls?
With the IPR and spacing 3D Controls you can choose to:
- Select the Auto Adjust option: IPR and space automatically adjusts as you make adjustments on the 3D model.
- Select the Keep Current option: to preserve the current IPR configuration.
- Select the No IPR option: all existing IPR will be removed, and no IPR will be added.
- Manually adjust IPR and space on the 3D model (add, remove or lock for specific teeth).
Are there any modifications to a treatment plan that cannot be done with 3D Controls?
Treatment modifications that cannot be done with 3D Controls are custom staging, changing number of stages (velocity changes), and adding precision bite ramps. These modifications must be requested either through the initial Rx form or in a comment to the technician during the modification process.
What is ClinCheck Live Update for 3D Controls?
ClinCheck Live Update is a ground-breaking new feature in ClinCheck Pro that enables doctors to generate modified Invisalign patient treatment plans in real time, transforming a doctor’s treatment planning experience. With this feature, doctors can use 3D controls to make changes to a ClinCheck plan and see these changes in a revised treatment plan in about two minutes. This eliminates weeks of back and forth interactions between doctors and Align CAD designers, and also communicates the doctor’s clinical intent more accurately. Once the doctors like the modifications they made to a treatment plan in real time, they can immediately approve the modified Invisalign treatment plan allowing manufacturing into Invisalign clear aligners to begin.
What Invisalign products are you able to use the ClinCheck Live Update feature on?
Live Update is available on primary and secondary orders of: Comprehensive, Moderate, Lite, and Express 7 (NOT on Express 5/10, Phase 1 cases, cases with MA feature or iGo)
Can doctors use ClinCheck Live Update if they send comments to the Align Technician?
Doctors must use 3D Controls to activate the Live Update feature. If doctors use a combo of comments & 3D Controls, only modifications with 3D Controls can be updated in real time. (Any comments go to tech for typical 3–5-day turnaround)
What is ClinCheck Smile Video?
ClinCheck Smile Video is a powerful new visualization tool that takes the treatment planning experience to the next level by allowing doctors realistically simulate the ClinCheck treatment plan within a short video of the patient’s face talking and smiling to show the before and after treatment outcome in a compelling way.
How does ClinCheck Smile Video work?
- Use the Invisalign Practice App to record a 15 to 30 second video of your patient talking and smiling while asking questions for natural facial and mouth movements.
- Use an iTero scanner to scan your patient’s teeth.
- Submit the ClinCheck prescription.
- When the plan is ready, check ClinCheck Pro software in 15 minutes for the video and use it to help explain treatment plans, especially more complex orthodontic or ortho-restorative cases.
When is Plan Editor available in ClinCheck treatment plans?
Plan Editor will be available in the ClinCheck Pro software if a doctor uses the Flex Rx form. Once a doctor receives their initial setup, they can proceed using Plan Editor tools. Plan Editor is only available to be used before 3D Controls. Plan Editor will not be available if 3D Controls are used first, and this will be clear in the interface.
- Data on file at Align Technology, as of December 31, 2023.